メインビジュアル

オーラル・リハビリテイション症例集

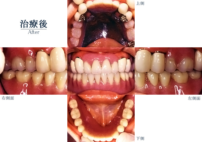
001:S.T.さん コーヌス義歯による治療

入れ歯の留め金の見えないコーヌス治療。
コーヌスクローネという治療は、一種の部分入れ歯の治療法です。
入れ歯ですから、取り外し式の治療法となります。ですが普通の部分入れ歯の治療と比べますと、多くの利点を持った入れ歯といえます。
たとえばですが、部分入れ歯に付き物の「バネ」がまったく見えません。笑うと口元から入れ歯の留め金が見えて、気になる人に有効な治療法です。 入れ歯なのに入れ歯を入れてない様に口元を演出する事ができます。
しかもカチッとしっかりはまり、すばらしい適合がえられ、装着感が違います。 「入れ歯の留め金が見えて気になる方」「笑うと口元が気になるので、笑えない」などといった患者さんにはお勧めの方法です。

他の医院で入れ歯を入れたが,ガタガタしてよくかめず,当医院に来院されました。
そして、残っている歯の歯周病の治療とむし歯の治療を行い、入れ歯の留め金見えずしっかり歯に固定できる入れ歯、コーヌスクローネによる治療法を選択されました。

ドクターコメント

コーヌスクローネで作製した部分入れ歯を、しっかりと残っている歯に固定して一体化できました。
留め金もなく、見た目には、まったくお口に入れ歯が入ってないように見えます。
治療後、今まで入れ歯の留め金が気になり笑えなかったけど、今は,留め金が見えず痛みもなく入れ歯なのにしっかり噛めて、まるで自分の歯で食べているように思えるそうです。
自分が入れ歯であることをつい忘れてしまうほど口に馴染んでいるとのこと。

術前術後

症例005ビフォー
症例005アフター

その他写真

上顎

治療内容のページに戻る

電話お問い合わせ
診療時間
9:00~19:00
土曜日のみ~18:00
休診日
日曜/祝日
住所
〒3660824
埼玉県深谷市西島町3-14-11